Лікування менінгіоми головного мозку: що потрібно знати пацієнту
Лікування менінгіоми головного мозку потребує індивідуального підходу, оскільки ця пухлина може мати різний розмір, розташування і темп росту. Почувши діагноз «менінгіома головного мозку», більшість людей відчувають тривогу й страх, адже слово “пухлина” часто асоціюється з онкологією. Однак важливо знати, що менінгіома — це здебільшого доброякісна пухлина, яке росте повільно та у багатьох випадках піддається успішному лікуванню. Своєчасна діагностика і правильно підібрана тактика терапії дозволяють повністю контролювати перебіг захворювання та запобігти його ускладненням.
Найкращі результати дає комплексне лікування менінгіоми головного мозку — поєднання сучасних методів нейровізуалізації, мікрохірургії та радіохірургії. Саме тому важливо довіряти досвідченому нейрохірургу, який визначить оптимальний шлях — від спостереження до повного видалення пухлини.
У цій статті своїм практичним досвідом ділиться київський нейрохірург Наталія Скіжа, яка протягом багатьох років займається діагностикою та лікуванням пацієнтів із менінгіомами. У своїй медичній практиці вона поєднує різні підходи — хірургічне видалення пухлини, променеву терапію та лікування за допомогою системи “КіберНіж” (CyberKnife). Наталія Скіжа працювала з технологією CyberKnife у клініці Спіженко, а також має досвід лікування на лінійному прискорювачі у відділенні променевої терапії клініки «Мануфактура».
У цьому матеріалі лікар ділиться спостереженнями, заснованими на багаторічній клінічній практиці, пояснює, як своєчасно розпізнати симптоми менінгіоми, які сучасні методи діагностики застосовуються сьогодні, а також які існують варіанти лікування і подальшого спостереження. Це особливо важливо, оскільки деякі менінгіоми мають тенденцію до повторного росту або метастазування, якщо таке лікування не було радикальним в перше видалення чи опромінення.
Що таке менінгіома головного мозку
Менінгіома (лат. Meningioma) — це пухлина, що розвивається з клітин павутинної оболонки мозку (арахноїдальних клітин), які оточують головний і спинний мозок. Згідно з класифікацією ВООЗ (WHO Classification of Tumours of the Central Nervous System, 2021), менінгіома належить до групи первинних центрально-нервових пухлин і становить близько 30–35% усіх внутрішньочерепних новоутворень у дорослих.
У більшості випадків менінгіома є доброякісною (Grade I), росте повільно й тривалий час може не викликати симптомів. Проте деякі підтипи (Grade II–III) — так звані атипові та анапластичні менінгіоми — мають схильність до рецидивів і метастазування. Саме тому правильна класифікація та контроль у динаміці є критично важливими.

Класифікація та коди
- Код за МКБ-10: D32.0 — Доброякісна менінгіома головного мозку;
C70.0 — Злоякісна менінгіома мозкових оболонок. - Код за МКБ-11: 2A21.0 (Meningioma, WHO grade 1), 2A21.1 (Atypical meningioma), 2A21.2 (Anaplastic meningioma).
- WHO Grade:
- Grade I — доброякісна менінгіома (≈ 80–85% випадків);
- Grade II — атипова, з підвищеною проліферативною активністю (≈ 10–15%);
- Grade III — анапластична, злоякісна форма (≈ 2–3%).
Залежно від локалізації, виділяють менінгіоми конвекситальні (на поверхні мозку), парасагітальні, основи черепа, клиновидного відростка, зорового нерва та задньої черепної ямки. Кожна з них може проявлятися різними неврологічними симптомами — від головного болю до порушень зору чи координації.
Морфологічні особливості
Під мікроскопом менінгіома складається з вихороподібно розташованих клітин, що утворюють менінготеліальні вузли; іноді містить псамомні тільця (кальцифікати). У гістологічному висновку зазвичай зазначають тип пухлини — менінготеліальна, фібробластична, транзиторна, ангіоматозна, секреторна, мікроцистична, анапластична тощо.
| Параметр | Опис |
|---|---|
| Латинська назва | Meningioma |
| Код МКБ-10 | D32.0 (доброякісна), C70.0 (злоякісна) |
| Ступінь за ВООЗ (WHO) | Grade I–III |
| Походження | Павутинна (арахноїдальна) оболонка мозку |
| Частка серед усіх пухлин мозку | 30–35% |
| Основні методи лікування | Хірургічне видалення, КіберНіж, променева терапія, спостереження |
Симптоми менінгіоми головного мозку
Симптоми менінгіоми головного мозку дуже різноманітні й залежать від багатьох чинників: розміру пухлини, її локалізації, швидкості росту та ступеня тиску на сусідні структури мозку. Невеликі менінгіоми іноді роками залишаються безсимптомними й виявляються випадково під час МРТ чи КТ, зроблених з іншого приводу. Проте з часом зростаюча пухлина дає про себе знати наступними проявами:
- Головний біль. Зазвичай поступово наростає, може бути стійким, не знімається звичайними знеболювальними й супроводжується відчуттям тиску всередині голови. Часто головний біль посилюється вранці або при різких рухах.
- Епілептичні напади. У багатьох пацієнтів саме перший судомний епізод стає приводом для обстеження, після якого виявляється менінгіома.
- Порушення зору або двоїння в очах. Виникає через тиск на зорові нерви або порушення венозного відтоку.
- Слабкість або порушення рухів/чутливості у кінцівках. Виникає, коли пухлина росте поруч із моторними зонами кори головного мозку.
- Порушення мовлення, пам’яті, уваги чи когнітивні зміни. Виникає при ураженні скроневих ділянок головного мозку.
- Симптоми внутрішньочерепної гіпертензії. Збільшений внутрішньочерепний тиск спричиняє появу нудоти, блювання, порушення свідомості, погіршення загального стану.
Важливо розуміти, що менінгіома головного мозку не має одного “типового” симптому пухлини. Її клінічні прояви завжди індивідуальні та можуть нагадувати інші захворювання нервової системи. Тому будь-які стійкі або незвичні зміни (головний біль, погіршення зору, судоми, слабкість чи проблеми з пам’яттю) мають стати приводом для консультації у невролога або нейрохірурга.
Консультація нейрохірурга
Онлайн-консультація нейрохірурга в Києві
Наталія Скіжа пропонує зручні онлайн-консультації нейрохірурга для пацієнтів чи їх родичів. Ви можете через сайт завантажити файли обстежень, такі як результати МРТ, КТ чи лабораторні аналізи, і отримати дистанційну онлайн консультацію спеціаліста. Це особливо важливо для пацієнтів, які знаходяться в іншому місті, адже дозволяє отримати професійну медичну допомогу без необхідності приїзду до Києва.
Завантажити файли для Онлайн консультації лікаря
Діагностика менінгіоми головного мозку
Діагностика менінгіоми головного мозку є комплексним процесом, який поєднує клінічне обстеження, сучасні методи нейровізуалізації та, за необхідності, додаткові дослідження.
Клінічне обстеження
Насамперед лікар проводить клінічну оцінку: розпитує пацієнта про скарги, з’ясовує їхню тривалість, інтенсивність і динаміку, а також можливі фактори ризику. Далі виконується неврологічний огляд, який включає перевірку рефлексів, сили м’язів, чутливості, координації рухів, а також когнітивних функцій — пам’яті, уваги, мовлення. Це дає змогу зорієнтуватися, яка саме зона мозку може бути уражена.

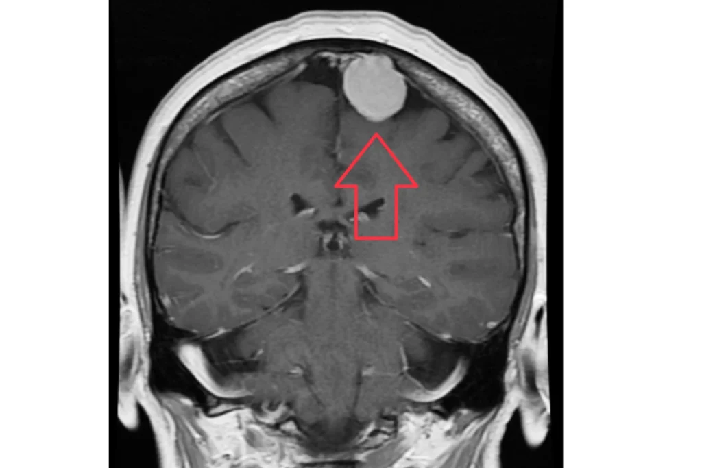
Магнітно-резонансна томографія (МРТ)
Найбільш інформативним методом діагностики менінгіоми головного мозку є магнітно-резонансна томографія (МРТ головного мозку з контрастом). Вона дозволяє побачити пухлину, оцінити її розміри, точне розташування, межі та ступінь впливу на сусідні структури. Використання контрастної речовини робить зображення ще чіткішим, оскільки менінгіоми мають характерне накопичення контрасту.
Комп’ютерна томографія (КТ)
Якщо ж МРТ з якихось причин неможливе, застосовують комп’ютерну томографію (КТ). Вона добре показує кальцифіковані ділянки або зміни у кістках черепа, що часто супроводжують менінгіоми.
Ангіографія
У складних випадках може знадобитися ангіографія — дослідження судин головного мозку, яке допомагає визначити, як саме пухлина кровопостачається. МРТ ангіографія судин головного мозку з контрастуванням ( МР ангіографія з контрастуванням) особливо важливо перед операцією, щоб оцінити ризики кровотечі й вирішити, чи потрібна попередня емболізація судин, які живлять пухлину.
Додаткові дослідження
Крім інструментальних методів, у процес діагностики входять і лабораторні аналізи. Вони необхідні для підготовки до операції або променевої терапії, а також для загальної оцінки стану організму. У деяких випадках проводиться нейропсихологічне тестування для детальної оцінки пам’яті, уваги, мовлення та інших когнітивних функцій.
Остаточне підтвердження діагнозу відбувається після гістологічного дослідження тканини пухлини. Дослідження проводиться, коли пухлину видаляють під час операції або отримують невеликий зразок з допомогою біопсії. Лише мікроскопічний аналіз дозволяє визначити тип менінгіоми та її ступінь злоякісності. Від цієї інформації залежить прогноз і подальша стратегія лікування.
Лікування менінгіоми головного мозку
Лікування менінгіоми головного мозку — це завжди індивідуально підібрана стратегія, яка залежить від багатьох факторів: розмірів пухлини, її розташування, темпів росту, наявності симптомів, віку та загального стану пацієнта.
Динамічне спостереження
Якщо менінгіома невелика, не викликає симптомів і не демонструє активного росту на МРТ, лікар може рекомендувати регулярний контроль: обстеження через 6–12 місяців і подальший моніторинг раз на рік. Такий підхід часто обирають для літніх пацієнтів або для тих, у кого операція пов’язана з високими ризиками.
Променева терапія
Променева терапія може застосовуватися як самостійний метод для невеликих менінгіом, розташованих у складних ділянках, або як додаткове лікування після операції, якщо пухлину не вдалося видалити повністю. Сучасні технології, такі як стереотаксична радіохірургія (гамма-ніж, кіберніж), дозволяють прицільно опромінювати пухлину, мінімізуючи пошкодження здорових тканин. У багатьох випадках це допомагає не тільки зупинити ріст новоутворення або навіть зменшити його розмір.
Хірургічне видалення
Основним і найрадикальнішим методом лікування менінгіоми залишається хірургічне видалення пухлини. Операція при менінгіомі показана тоді, коли пухлина викликає симптоми, швидко збільшується або становить загрозу для життя. Завдання нейрохірурга — максимально видалити новоутворення й одночасно зберегти функції мозку. При цьому складність операції залежить від локалізації: пухлини, що лежать поруч із великими судинами чи черепними нервами, потребують особливо делікатного підходу.
Післяопераційне відновлення
Не менш важливим етапом лікування є післяопераційне відновлення. Пацієнти потребують контролю невролога, регулярних МРТ, а також програм реабілітації — фізичної, когнітивної, інколи психологічної. Реабілітація допомагає швидше відновити рухові функції, мовлення та повернутися до нормального повсякденного життя.
Вчасне звернення до спеціаліста, точна діагностика та лікування у спеціалізованій клініці дають змогу контролювати хворобу. Більшість менінгіом є доброякісними, а ризик рецидиву після видалення пухлини залишається мінімальним і становить всього кілька відсотків протягом наступних 10 років.
Медичний центр DocLife надає повний спектр діагностичних процедур, які дозволяють виявити менінгіому. При появі перших симптомів новоутворення звертайтеся за консультацією до нейрохірурга Наталії Скіжа. Лікування менінгіоми в Києві включає всі найсучасніші методики, які використовуються в провідних світових клініках.
на сайті Нейрохірург Наталія Скіжа Київ
Консультація нейрохірурга
діагностика та вибір ефективного лікування
Операції на хребті у Києві
Сучасні нейрохірургічні втручання на шийному, грудному та поперековому відділах хребта
Грижа хребта – лікування
лікування міжхребцевих гриж: від консультації до хірургії.
Обладнання для нейрохірурга
Передова діагностична та операційна техніка для точного і безпечного лікування.
Головний мозок – пухлини
Діагностика та хірургічне лікування пухлин головного мозку будь-якої складності.
Публікації | Нейрохірург
Актуальні матеріали, клінічні кейси та поради від Наталії Скіжа.










